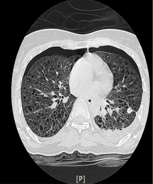
Figure 2: HRCT Thorax showing bilateral pneumothoraces with multiple diffuse thin wall cysts of various sizes.