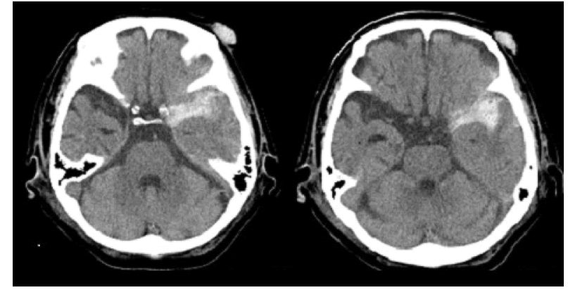
Figure 2: CT performed 4 days after head injury revealed massive subarachnoid hemorrhage in the left sylvian fissure; CT, computed tomography.