Clinical Image, J Clin Image Case Rep Vol: 2 Issue: 2
Ectopic Thyroid: An Unusual Cause of Anterior Mediastinal Mass
Wan-Ling Miriam Wu1,2* and Chiao-Hsuan Chien1
1Department of Diagnostic Radiology, Chi-Mei Medical Center, Tainan City, Taiwan
2Institute of Biomedical Sciences, National Sun Yat-sen University, Kaohsiung City, Taiwan
*Corresponding Author : Wan-Ling Miriam Wu
Department of Diagnostic Radiology, Chi-Mei Medical Center, No.901, Zhonghua Road, Yongkang District, Tainan City, Taiwan
Tel: 886-6-2812811/53131
Fax: 886-6-2512436
E-mail: chofeculture@yahoo.com.tw
Received: March 19, 2018 Accepted: April 12, 2018 Published: April 19, 2018
Citation: Wu WLM, Chien CH (2018) Ectopic Thyroid: An Unusual Cause of Anterior Mediastinal Mass. J Clin Image Case Rep 2:2.
Abstract
A 67-year old man presented with dysphagia for several weeks. Endoscopy was performed for suspected esophageal lesion, and an upper esophageal cancer was found and proved by biopsy. A contrast enhanced computed tomography (CT) was performed for cancer staging. Post-contrast CT demonstrated concentric esophageal wall thickening which was compatible with the presence of esophageal cancer. Post-contrast CT also revealed an avidly and heterogeneously enhancing nodule in anterior mediastinum. This nodule demonstrated high attenuation on pre-contrast CT. The rest of the CT exam showed no remarkable findings.
Description
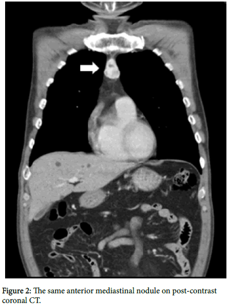
A 67-year old man presented with dysphagia for several weeks. Endoscopy was performed for suspected esophageal lesion, and an upper esophageal cancer was found and proved by biopsy. A contrast enhanced computed tomography (CT) was performed for cancer staging. Post-contrast CT demonstrated concentric esophageal wall thickening which was compatible with the presence of esophageal cancer. Post-contrast CT also revealed an avidly and heterogeneously enhancing nodule in anterior mediastinum (arrows in Figures 1 and 2). This nodule demonstrated high attenuation on pre-contrast CT (arrow in Figure 3). The rest of the CT exam showed no remarkable findings.
Due to the possibility of this anterior mediastinal nodule being an anterior mediastinal tumor or atypical metastatic lymphadenopathy, surgical biopsy of the anterior mediastinal nodule was performed as well as esophagectomy. Esophageal cancer was confirmed by histopathologic findings. However, the surgical biopsy of the anterior mediastinal nodule revealed an ectopic thyroid with colloid follicles unexpectedly.
Ectopic thyroid is a rare developmental abnormality secondary to aberrant embryogenesis of the thyroid gland. It is most commonly found in the lingual area, and mediastinal location is rare.
Mediastinal nodule or mass with high density on non-contrast images relative to adjacent muscle; and intense contrast enhancement should prompt the diagnosis of ectopic thyroid. The pre-contrast high density is due to the intrinsic iodine content in the ectopic thyroid. Differentiating ectopic thyroid from other entities is important as this may affect the clinical management. Ectopic thyroid may or may not cause symptoms, depending on the size and location of the lesion. Scintigraphy, sonography and magnetic resonance imaging are other tools that can be used for the diagnosis of ectopic thyroid. Currently there is no consensus about the optimal management of ectopic thyroid; options ranging from surgery to regular image follow up. Although rare, the small risk of malignant transformation of ectopic thyroid should be kept in mind.
Spanish
Chinese
Russian
German
French
Japanese
Portuguese
Hindi 


