Case Report, Clin Dermatol Res J Vol: 4 Issue: 2
Erythematous Papules and Patches on the Hands
Niema Aqil*, Kaoutar Moustaide and Fatima Zahra Mernissi
Hassan II University Hospital, Fes, Morocco
*Corresponding Author : Niema Aqil
Dermatology, Hassan II University Hospital, Fes, Morocco
E-mail: niemaaqil90@gmail.com
Received: February 12, 2019 Accepted: February 27, 2019 Published: March 04, 2019
Citation: Aqil N, Moustaide K, Mernissi ZF (2019) Erythematous Papules and Patches on the Hands. Clin Dermatol Res J 4:2. doi: 10.4172/2576-1439.1000132
Abstract
A 29-year-old pregnant woman presented with itchy erythematous lesions, fixed at the hands, bilaterally and symmetrically, without other systemic signs or previous infection. The initial clinical examination revealed the presence of erythematous papules and patches. Erythema elevatum diutinum is a rare chronic form of cutaneous vasculitis. It is generally associated with autoimmune, neoplastic, hematological and infectious processes. Its association with pregnancy is very rare.
Keywords: Erythematous; Papules; Patches
Case
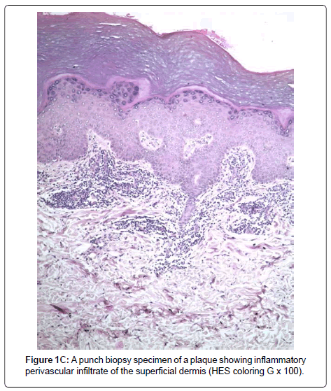
A 29-year-old woman, pregnant at 34 weeks of amenorrhea, presented with itchy erythematous lesions, fixed at the hands, bilaterally and symmetrically, without other systemic signs or previous infection. The initial clinical examination revealed the presence of erythematous papules and patches, with an infiltrated border and a depressed center giving an annular appearance, and others with a purplish, sometimes edematous center, sitting bilaterally and symmetrically on the dorsal face joints of the hands, overflowing on the palmar faces (Figures 1A and 1B). There was no lymphadenopathy present. A skin biopsy from a patch was obtained (Figures 1C and 1D).
What is your diagnosis?
A. Granuloma annular
B. Sweet syndrome
C. Erythema elevatum diutinum
D. Erythema multiform
Diagnosis
Erythema elevatum diutinum.
Microscopic findings and clinical course
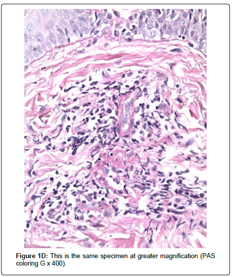
The biopsy specimen revealed an oedematous and slightly fibrous superficial reticular dermis, which contains inflammatory infiltrates arranged in perivascular cuffs essentially made of lymphocytes mixed with some histiocytes associated with some neutrophilic leucocytes with discrete leucocytoclasia (Figure 1C). These elements penetrate the vascular wall. It associates discrete perivascular and parietal fibrinoid deposits (Figure 1D).
Clinicohistopathologic correlation supported the diagnosis of erythema elevatum diutinum (EED). A paraclinical assessment of association with other diseases was made returning without abnormalities. Given localized lesions without systemic signs, the patient was started on topical corticosteroids with good progress until delivery, and remained in remission for two years.
Discussion
Erythema elevatum diutinum (EED) is a rare and infrequent form of leukocytoclastic vasculitis. It is more frequent in adults between the third and sixth decades of life, presenting at any age [1]. It is probably mediated by immune complexes. It is generally associated with autoimmune, neoplastic, hematological and infectious processes [2-4].
The lesions manifests as symmetrical, firm, yellow or pinkish to red, purple or brown papules, plaques or nodules on the backs of the hands, feet and extensor surfaces of the extremities overlying joints [5]. Although lesions are often asymptomatic, patients have experienced pruritus, tenderness, and local burning sensation [4-7].
Histologically, the lesions are characterized by a leukocytoclastic vasculitis, with large endothelial edema in the small vessels of the upper and middle dermis, foci of fibrinoid degeneration called toxic hyaline of the vascular wall and a perivascular lymphocytic inflammatory infiltrate [8,9].
Clinicopathologic correlation is important for the diagnosis as EED lesions may sometimes mimic a variety of cutaneous diseases, such as Sweer syndrome, pyoderma gangrenosum, sarcoidosis, granuloma annulare and erythema multiforme [4,10].
The treatment of EED is difficult because of its chronic and recurrent course [11]. Dapsone is considered a first-line treatment for early lesions [7]. In the second line, colchicine, tetracycline and systemic steroids have been used with limited success [12]. The lesions of erythema elevatum diutinum resolved after one week of topical steroid use and remained in remission for one year [7]. As the case of our patient in late lesions, the use of intralesional corticosteroids and surgical excision gave promising results [13]. Patients with underlying disorders or infections should benefit from targeted treatment of the underlying etiology, which could improve the results of EED [7].
Conclusion
Erythema elevatum diutinum is a rare chronic form of cutaneous vasculitis. It can imitate several pathologies. Although its cause is unknown, infections and systemic disorders associated with EED have been described: streptococcal infection, HIV infection, rheumatoid arthritis and monoclonal gammopathies. The association with pregnancy is very rare but can be explained by the fact that the latter is a temporary semi-allograft that survives for nine months [14] evolving favorably after delivery as is the case of our patient.
References
- Wilkinson SM, English JS, Smith NP (1992) Erythema elevatum diutinum: A clinico pathological study. Clin Exp Dermatol 17: 87-93.
- Rover PA, Bittencourt C, Discacciati MP, Zaniboni MC, Arruda LH, et al. (2005) Erythema elevatum diutinum as a first clinical manifestation for diagnosing HIV infection: Case history. Sao Paulo Med J 123: 201-203.
- Sharma V, Mahajan VK, Mehta KS, Chauhan PS, Chander B (2013) Erythema elevatum diutinum. Indian J Dermatol Venereol Leprol 79: 238-239.
- Garcia-Melendez ME, Martinez-Cabriales SA, Eichelmann K, Gomez-Flores M, Ocampo-Candiani J (2015) Erythema elevatum diutinum: An atypical presentation. Am J Med Sci 349: 374-375.
- Momen SE, Jorizzo J, Al-Niaimi F (2014) Erythema elevatum diutinum: A review of presentation and treatment. J Eur Acad Dermatol Venereol 28: 1594-1602.
- Yiannias JA, Azhary RA, Gibson LE (1992) Erythema elevatum diutinum: A clinical and histopathologic study of 13 patients. J AmAcad Dermatol 26: 38-44.
- Gibson LE, Azhary RA (2000) Erythema elevatum diutinum. Clin Dermatol 18: 295-299.
- Requena L, Sanchez YE, Martin L (1991) Erythema elevatum diutinum in a patient with acquired inmunodeficiency syndrome. Arch Dermatol 127: 1819-1822.
- Kanitakis J, Cozzani E, Lyonnet (1993) Ultrastructural study of chronic lesions of erythema elevatum diutinum: extracellular cholesterolosis is misnomer. J Am Acad Dermatol 29: 363-367.
- Wilkinson SM, English JS, Smith NP, Wilson-JE, Winkelmann RK (1992) Erythema elevatum diutinum: A clinicopathological study. Clin Exp Dermatol 17: 87-93.
- Katz SI, Gallin JL, Hertz KC, Fauci AS, Lawley TJ (1977) Erythema elevatum diutinum: Skin and systemic manifestations, immunologic studies and successful treatment with dapsone. Medicine (Baltimore) 56: 443-455.
- Grabbe J, Haas N, Moller A, Henz BM (2000) Erythema elevatum diutinum-evidence for disease-dependent leucocyte alterations and response to dapsone. Br J Dermatol 143: 415-420.
- Rinard JR, Mahabir RC, Greene JF, Grothaus P (2010) Successful surgical treatment of advanced erythema elevatum diutinum. Can J Plast Surg 18: 28-30.
- Hanssens, Sandy, Salzet, Michel, Vinatier, et al. (2012) Aspects immunologiques de la grossesse. Journal de Gynecologie Obstetrique et Biologie de la Reproduction.
Spanish
Chinese
Russian
German
French
Japanese
Portuguese
Hindi 



